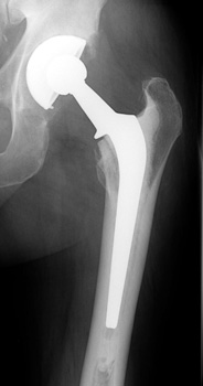
Total Hip Arthroplasty
Home Up Materials Radiography Arthrography CT and MRI References

 

Home
Materials
Fixation
Prosthesis Types
 Total Hip 
 Hemi
 Revision 
Radiography
Baseline Exam
 Alignment
 -Acetab. Position
 -Inclination
 -Anteversion
 -Center of Rotation
 -Femoral Stem 
 -Leg Length Discr.
 Intra-op- Fractures 
 Cement Herniation
Follow-up Study
 Bony Abnormalities
 Fracture
 Heterotopic Bone
 Non Union
 Hardware Failure
 -Polyethylene Wear
 -Dislocation
 Osteolysis
 Loosening
 Infection
Arthrography
CT and MRI
References

Total Hip Arthroplasty

  • Used in patients with arthritic conditions that involve the acetabulum and the femoral head
  • Types
    • Non cemented
      • Porous coated
      • Press fit
    • Hybrid (only femoral component cemented)
    • Cemented

Non Cemented


Hybrid (only femoral component cemented)


Cemented


 

Google
 
Web Gentili.net