Crescent Sign
Home Up Location Diagnosis
Back Next

 

Atlas of Signs in Musculoskeletal Radiology is approved by the ARRS (American Roentgen Ray Society) and is included in AJR Webreview
A. Gentili,MD, M. Beller, MD, S. Masih, MD, L.L. Seeger, MD

Diagnosis:

Avascular Necrosis

Discussion:

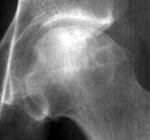
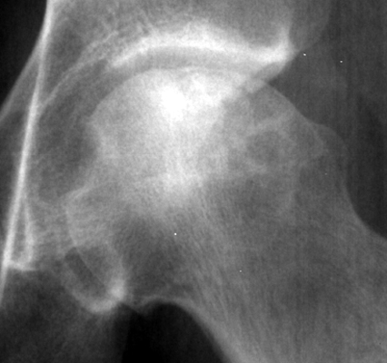
A radiograph of a left hip joint, which reveal a thin, curvilinear lucent line parallel to the cortical margin of the femoral head. Interruption of the blood supply to the femoral head leads to ischemic necrosis of the marrow and bone that it supplies. Eventually, the bone infarcts and insufficiency fractures may ensue. Fractures that occur in the subchondral bone may be recognized by a crescentic lucent zone that separates the fragment from the remainder of the femur.


AP hip - Click on the image for a larger version

References:

bulletNorman A, Bullough P: The radiolucent crescent line: An early diagnostic sign of avascular necrosis of the femoral head. Bull Hosp Joint Dis 1963, 24:99-104.

 

 

Google
 
Web Gentili.net


Atlas of Signs in Musculoskeletal Radiology is approved by the ARRS (American Roentgen Ray Society) and is included in AJR Webreview
A. Gentili,MD, M. Beller, MD, S. Masih, MD, L.L. Seeger, MD