Cupid's Bow Contour
Home Up Location Diagnosis
Back Next

 

Atlas of Signs in Musculoskeletal Radiology is approved by the ARRS (American Roentgen Ray Society) and is included in AJR Webreview
A. Gentili,MD, M. Beller, MD, S. Masih, MD, L.L. Seeger, MD

Diagnosis:

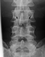
Normal spine

Discussion:

Frontal and lateral radiograph of the lumbar spine with curvature of the inferior endplate of the 4th and 5th lumbar vertebrae, which mimics the curvature of Cupid's bow aimed cephalad. The unusual, non-flat surface of the inferior endplate is a normal variant, and need not be misinterpreted as inherent osseous abnormality or adjacent pathological process.


 - Click on the image for a larger versionA - Click on the image for a larger versionB

References:

bulletDietz GW, Christiensen EE: Normal "Cupid's Bow" contour of the lower lumbar vertebrae. Radiology 1976, 121:577-579.          [See related articles]

 

 

Google
 
Web Gentili.net


Atlas of Signs in Musculoskeletal Radiology is approved by the ARRS (American Roentgen Ray Society) and is included in AJR Webreview
A. Gentili,MD, M. Beller, MD, S. Masih, MD, L.L. Seeger, MD