Ivory Phalanx Sign
Home Up Location Diagnosis
Back Next

 

Atlas of Signs in Musculoskeletal Radiology is approved by the ARRS (American Roentgen Ray Society) and is included in AJR Webreview
A. Gentili,MD, M. Beller, MD, S. Masih, MD, L.L. Seeger, MD

Diagnosis:

Psoriasis

Discussion:

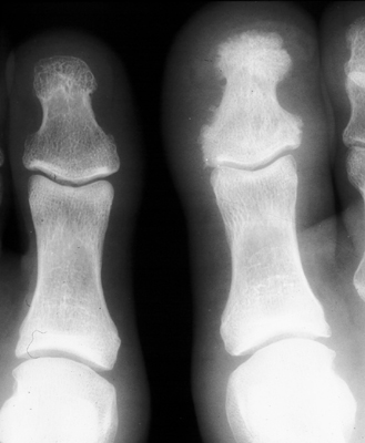
Single x-ray of the toes revealing increased density throughout the osseous structures of the involved digit in a person with psoriatic arthritis. Sclerosis of an entire phalanx, typically the great toe, is likely the result of bony proliferation as an exaggerated healing response to injured bone in patients with seronegative spondyloarthropathy.


 - Click on the image for a larger version

References:

bulletResnick D, Broderick TW: Bony proliferation of terminal toe phalanges in psoriasis: the "ivory" phalanx. J Can Assoc Radiol 1977 Sep;28(3):187-9.          [See related articles]

 

 

Google
 
Web Gentili.net


Atlas of Signs in Musculoskeletal Radiology is approved by the ARRS (American Roentgen Ray Society) and is included in AJR Webreview
A. Gentili,MD, M. Beller, MD, S. Masih, MD, L.L. Seeger, MD