Metacarpal Sign
Home Up Location Diagnosis
Back Next

 

Atlas of Signs in Musculoskeletal Radiology is approved by the ARRS (American Roentgen Ray Society) and is included in AJR Webreview
A. Gentili,MD, M. Beller, MD, S. Masih, MD, L.L. Seeger, MD

Diagnosis:

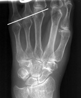
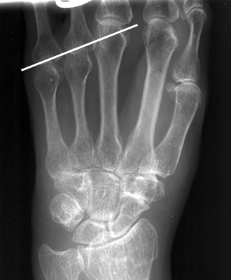
Short 4th Metacarpal

Discussion:

Radiograph of the hand which reveals an abnormally short 4th metacarpal, as compared to the other metacarpal bones. Although this sign usually is associated with Turner's syndrome, the short 4th "metacarpal sign" carries a short differential diagnosis and is therefore not pathognomonic.


 - Click on the image for a larger version

References:

bulletWillich E, Englert M: [The metacarpal sign].[Article in German] Fortschr Geb Rontgenstr Nuklearmed 1973 Oct;119(4):443-50.          [See related articles]
bullet: An evaluation of the metacarpal sign (short fourth metacarpal). Pediatrics 1970 Sep;46(3):468-71.          [See related articles]

 

 

Google
 
Web Gentili.net


Atlas of Signs in Musculoskeletal Radiology is approved by the ARRS (American Roentgen Ray Society) and is included in AJR Webreview
A. Gentili,MD, M. Beller, MD, S. Masih, MD, L.L. Seeger, MD