Cortical Ring Sign
Home Up Location Diagnosis
Back Next

 

Atlas of Signs in Musculoskeletal Radiology is approved by the ARRS (American Roentgen Ray Society) and is included in AJR Webreview
A. Gentili,MD, M. Beller, MD, S. Masih, MD, L.L. Seeger, MD

Diagnosis:

Rotary subluxation

Discussion:

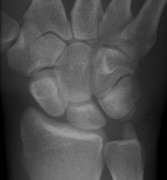
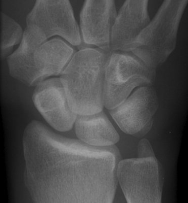
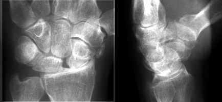
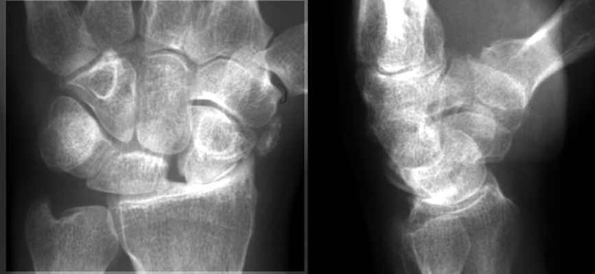
Multiple images of navicular disorientation with dislocation of the scapholunate joint. The scaphoid bone, seen along it long axis, has a ringed cortex appearance. This cortical ring sign is a sign of scapholunate dislocation, This sign was first described in 1970 in young patient with bilateral dislocation of the carpal naviculars. This sign (also known as the signet-ring sign) is caused by the abnormal orientation of the scaphoid.


 - Click on the image for a larger versionA - Click on the image for a larger versionB

References:

bulletCrittenden JJ, Jones DM, Santarelli AG: Bilateral rotational dislocation of the carpal navicular. Radiology 1970, 94:629-630.          [See related articles]

 

 

Google
 
Web Gentili.net


Atlas of Signs in Musculoskeletal Radiology is approved by the ARRS (American Roentgen Ray Society) and is included in AJR Webreview
A. Gentili,MD, M. Beller, MD, S. Masih, MD, L.L. Seeger, MD