Trough Line
Home Up Location Diagnosis
Back Next

 

Atlas of Signs in Musculoskeletal Radiology is approved by the ARRS (American Roentgen Ray Society) and is included in AJR Webreview
A. Gentili,MD, M. Beller, MD, S. Masih, MD, L.L. Seeger, MD

Diagnosis:

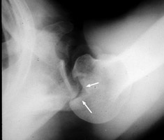
Posterior shoulder dislocation

Discussion:

Trough line is seen with posterior shoulder dislocation. When the humeral head is forced posteriorly in internal rotation, the anterior aspect of the humeral head is driven against the posterior glenoid rim. With sufficient force, the head will sustain a compression fracture. In many cases of posterior dislocation of the shoulder, two parallel lines of cortical bone can be seen. The outer (more medial) cortical line represent the medial cortex of the humeral head, while the other line represents the margin of a "trough" like impaction fracture.


 - Click on the image for a larger versionA - Click on the image for a larger versionB

References:

bulletCisternino SJ, Rogers LF, Stufflebam BC, Kruglik GD: The trough line: a radiographic sign of posterior shoulder dislocation. AJR Am J Roentgenol 1978 May;130(5):951-4.          [See related articles]

 

 

Google
 
Web Gentili.net


Atlas of Signs in Musculoskeletal Radiology is approved by the ARRS (American Roentgen Ray Society) and is included in AJR Webreview
A. Gentili,MD, M. Beller, MD, S. Masih, MD, L.L. Seeger, MD