Pedestal Sign
Home Up Location Diagnosis
Back Next

 

Atlas of Signs in Musculoskeletal Radiology is approved by the ARRS (American Roentgen Ray Society) and is included in AJR Webreview
A. Gentili,MD, M. Beller, MD, S. Masih, MD, L.L. Seeger, MD

Diagnosis:

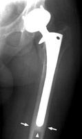
Loosening prosthesis

Discussion:

Always associated with the presence of divergent radio-opaque lines, the pedestal sign is indicative of prosthetic loosening of the femoral stem in cementless total hip arthroplasty. The presence of radio-opaque lines within a radiolucent area, separated from the prosthetic tip by at least 2 mm, is defined as the "pedestal sign."


AP hip - Click on the image for a larger versionALateral hip - Click on the image for a larger versionB

References:

bulletJakim I, Barlin C, Sweet MB: Radiological signs of loosening of the femoral stem in cementless total hip arthroplasty S Afr J Surg 1989 Jul;27(3):78-83..          [See related articles]

 

 

Google
 
Web Gentili.net


Atlas of Signs in Musculoskeletal Radiology is approved by the ARRS (American Roentgen Ray Society) and is included in AJR Webreview
A. Gentili,MD, M. Beller, MD, S. Masih, MD, L.L. Seeger, MD