Lateral Capsular Sign
Home Up Location Diagnosis
Back Next

 

Atlas of Signs in Musculoskeletal Radiology is approved by the ARRS (American Roentgen Ray Society) and is included in AJR Webreview
A. Gentili,MD, M. Beller, MD, S. Masih, MD, L.L. Seeger, MD

Diagnosis:

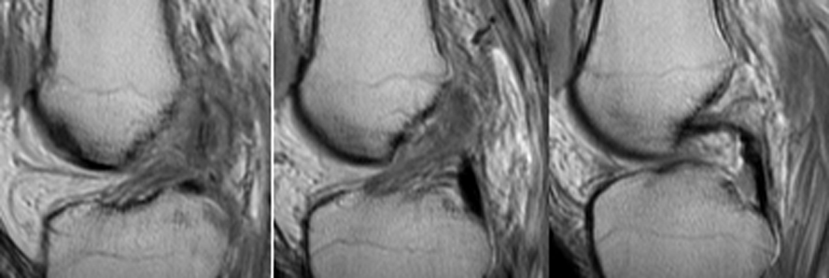
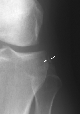
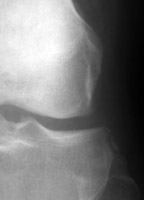
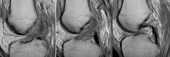
ACL Tear - Segund fracture

Discussion:

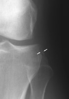
Frontal radiographs of the knee which reveal a small fleck of bone adjacent to the lateral aspect of the lateral tibial plateau. This "lateral capsular sign" is a simple radiographic finding visible on the routine AP knee x-ray, which indicates severe lateral capsular injury and should alert the examiner to the possibility of ACL tear. The fleck of bone represents an avulsion of the meniscotibial portion of the middle one-third of the lateral capsular ligament. It most commonly implies a disruption of the capsular ligament and the ACL. A-B Radiographs. C. MRI confirms the diagnosis of ACL tear.


AP knee - Click on the image for a larger versionAAP knee - Click on the image for a larger versionB - Click on the image for a larger versionC

References:

bulletHardegger F, Fischer M, Mulder H: [The lateral capsule sign in the traumatized knee joint]. [Article in German]. Schweiz Med Wochenschr 1989 Jun 10;119(23):839-42.          [See related articles]
bulletWoods GW, Stanley RF, Tullos HS: Lateral capsular sign: X-ray clue to significant knee instability. Am J Sport Med 1979; 7:27-33.          [See related articles]

 

Google
 
Web Gentili.net


Atlas of Signs in Musculoskeletal Radiology is approved by the ARRS (American Roentgen Ray Society) and is included in AJR Webreview
A. Gentili,MD, M. Beller, MD, S. Masih, MD, L.L. Seeger, MD