Fallen Fragment
Home Up Location Diagnosis
Back Next

 

Atlas of Signs in Musculoskeletal Radiology is approved by the ARRS (American Roentgen Ray Society) and is included in AJR Webreview
A. Gentili,MD, M. Beller, MD, S. Masih, MD, L.L. Seeger, MD

Diagnosis:

Unicameral bone cyst

Discussion:

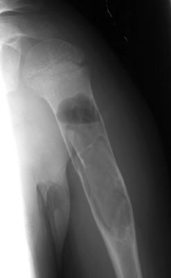
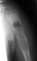
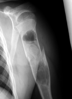
Two radiographs of a pathologic fracture in a simple bone cyst of the proximal humerus. Within the cyst is noted a small, thin, linear bony fragment which is displaced from the site of the fracture. An excellent sign of unicameral bone cyst. The fallen fragment secondary to pathologic fracture is pathognomonic for this cyst. A portion of the wall of the cyst has undergone a pathological fracture and subsequently floated down (fallen) via gravity into the dependent portion of the cyst.


 - Click on the image for a larger versionA - Click on the image for a larger versionB

References:

bulletMcGlynn FJ, Mickelson MR, El-Khoury GY: The fallen fragment sign in unicameral bone cyst. Clin Orthop 1981 May;(156):157-9.          [See related articles]
bulletKilleen KL.: The fallen fragment sign Radiology 1998 Apr;207(1):261-2 ..          [See related articles]
bulletStruhl S, Edelson C, Pritzker H, Seimon LP, Dorfman HD: Solitary (unicameral) bone cyst. The fallen fragment sign revisited. Skeletal Radiol 1989;18(4):261-5.          [See related articles]

 

 

Google
 
Web Gentili.net


Atlas of Signs in Musculoskeletal Radiology is approved by the ARRS (American Roentgen Ray Society) and is included in AJR Webreview
A. Gentili,MD, M. Beller, MD, S. Masih, MD, L.L. Seeger, MD