Sausage Digit
Home Up Location Diagnosis
Back Next

 

Atlas of Signs in Musculoskeletal Radiology is approved by the ARRS (American Roentgen Ray Society) and is included in AJR Webreview
A. Gentili,MD, M. Beller, MD, S. Masih, MD, L.L. Seeger, MD

Diagnosis:

Psoriasis

Discussion:

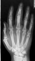
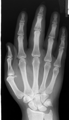
X-ray of the hand with diffuse fusiform soft-tissue swelling of the entire 3rd digit. This sign refers to fusiform soft-tissue swelling involving an entire, single digit within the hand. The appearance of a sausage digit (cocktail sausage) is classically associated with the single-ray pattern of involvement seen in some patients with psoriatic arthritis, and may be the initial manifestation of the disease.


PA hand - Click on the image for a larger version

References:

bulletForrester, DM: Radiologic vignette. The "cocktail" digit. Arthritis Rheum. 1983, 26,664-7.          [See related articles]

 

 

Google
 
Web Gentili.net


Atlas of Signs in Musculoskeletal Radiology is approved by the ARRS (American Roentgen Ray Society) and is included in AJR Webreview
A. Gentili,MD, M. Beller, MD, S. Masih, MD, L.L. Seeger, MD