FBI Sign
Home Up Location Diagnosis
Back Next

 

Atlas of Signs in Musculoskeletal Radiology is approved by the ARRS (American Roentgen Ray Society) and is included in AJR Webreview
A. Gentili,MD, M. Beller, MD, S. Masih, MD, L.L. Seeger, MD

Diagnosis:

Lipohemarthrosis

Discussion:

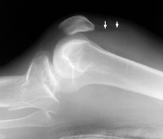
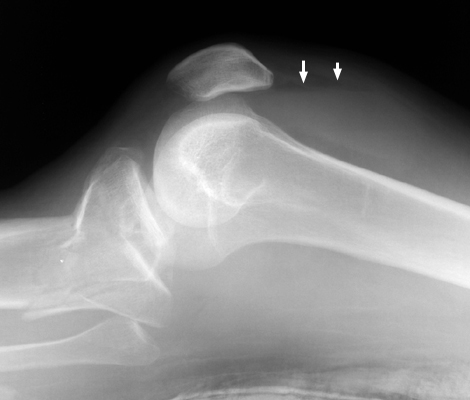
Fat fluid interface seen on the multiple lateral radiographs of the knee secondary to lipohemarthrosis. The fat-blood interface (FBI) is a very suggestive sign of underlying fracture extending into the joint. If no fracture is readily identified, diligent search should be undertaken.


Cross table lateral knee - Click on the image for a larger versionACross table lateral - Click on the image for a larger versionB

References:

bulletWenzel WW: The FBI sign Rocky mountain Med J 1972, 69:71-72..          [See related articles]

 

 

Google
 
Web Gentili.net


Atlas of Signs in Musculoskeletal Radiology is approved by the ARRS (American Roentgen Ray Society) and is included in AJR Webreview
A. Gentili,MD, M. Beller, MD, S. Masih, MD, L.L. Seeger, MD