Vacuum Phenomenon
Home Up Location Diagnosis
Back

 

Atlas of Signs in Musculoskeletal Radiology is approved by the ARRS (American Roentgen Ray Society) and is included in AJR Webreview
A. Gentili,MD, M. Beller, MD, S. Masih, MD, L.L. Seeger, MD

Diagnosis:

Degenerative disk disease

Discussion:

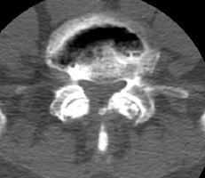
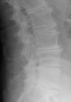
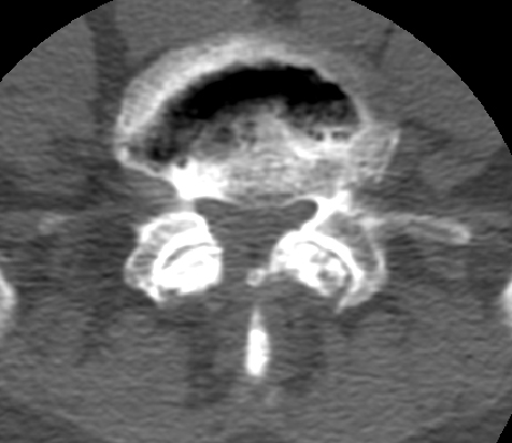
The presence of a linear radiolucency in the disk space (vacuum phenomenon) is a typical finding of degenerative disk disease. It is often associated to other findings of degenerative disk disease such as disk space narrowing and endplate sclerosis. Gas in the disk space is rarely associated to disk space infection.


 - Click on the image for a larger versionA - Click on the image for a larger versionB - Click on the image for a larger versionC - Click on the image for a larger versionD

References:

bulletChevalier X, Larget-Piet B: Vacuum sign in spondylodiscitis due to H aphrophilus. Ann Rheum Dis 1993 Jan;52(1):84.          [See related articles]
bulletGolimbu C, Firooznia H, Rafii M: The intravertebral vacuum sign. Spine 1986 Dec;11(10):1040-3.          [See related articles]
bulletResnick D, Niwayama G, Guerra J et al.: Spinal vacuum phenomena: Anatomical study and review. Radiology 1981, 139:341-348..          [See related articles]

 

 

Google
 
Web Gentili.net


Atlas of Signs in Musculoskeletal Radiology is approved by the ARRS (American Roentgen Ray Society) and is included in AJR Webreview
A. Gentili,MD, M. Beller, MD, S. Masih, MD, L.L. Seeger, MD