Tooth Sign
Home Up Location Diagnosis
Back Next

 

Atlas of Signs in Musculoskeletal Radiology is approved by the ARRS (American Roentgen Ray Society) and is included in AJR Webreview
A. Gentili,MD, M. Beller, MD, S. Masih, MD, L.L. Seeger, MD

Diagnosis:

Enthesopathy

Discussion:

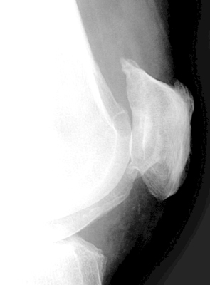
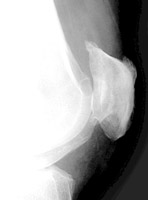
Enthesopathy of the patella at the attachment of the quadriceps tendon on the axial view of the patella (sunrise view) resemble teeth.


Sunrise view - Click on the image for a larger versionALateral Knee - Click on the image for a larger versionB

References:

bulletGreenspan A, Norman A, Tchang FK: "Tooth" sign in patellar degenerative disease. J Bone Joint Surg [Am] 1977 Jun;59(4):483-5.          [See related articles]

 

 

Google
 
Web Gentili.net


Atlas of Signs in Musculoskeletal Radiology is approved by the ARRS (American Roentgen Ray Society) and is included in AJR Webreview
A. Gentili,MD, M. Beller, MD, S. Masih, MD, L.L. Seeger, MD