Swan Neck Deformity
Home Up Location Diagnosis
Back Next

 

Atlas of Signs in Musculoskeletal Radiology is approved by the ARRS (American Roentgen Ray Society) and is included in AJR Webreview
A. Gentili,MD, M. Beller, MD, S. Masih, MD, L.L. Seeger, MD

Diagnosis:

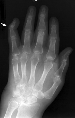
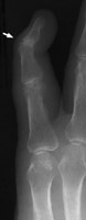
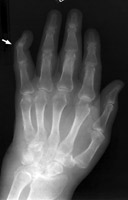
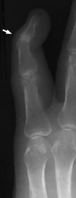
Rheumatoid arthritis

Discussion:

Among the many osseous abnormalities that may be seen in Rheumatoid Arthritis, the swan neck deformity is the culmination of multiple abnormalities in the hand. Specifically, the deformity arises from hyperextension of the proximal interphalangeal joint, while the distal interphalangeal joint is flexed.


 - Click on the image for a larger versionA - Click on the image for a larger versionB

References:

bulletWelsh RP, Hastings DE: Swan neck deformity in rheumatoid arthritis of the hand. Hand. Hand 1977 Jun;9(2):109-16.          [See related articles]
bulletHeywood AW: The pathogenesis of the rheumatoid swan neck deformity. Hand 1979 Jun;11(2):176-83.          [See related articles]

 

 

Google
 
Web Gentili.net


Atlas of Signs in Musculoskeletal Radiology is approved by the ARRS (American Roentgen Ray Society) and is included in AJR Webreview
A. Gentili,MD, M. Beller, MD, S. Masih, MD, L.L. Seeger, MD