Heel Pad Sign
Home Up Location Diagnosis
Back Next

 

Atlas of Signs in Musculoskeletal Radiology is approved by the ARRS (American Roentgen Ray Society) and is included in AJR Webreview
A. Gentili,MD, M. Beller, MD, S. Masih, MD, L.L. Seeger, MD

Diagnosis:

Acromegaly

Discussion:

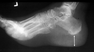
Single lateral radiograph of the foot with a grossly enlarged and thickened calcaneal heel pad. Although not pathognomonic, a heel pad thickness greater than 23 mm may indicate acromegaly. The overabundance of growth hormone in acromegaly causes, among other things, gradual enlargement of hands, feet, and exaggeration of facial features. Not limited to the bones, however, enlargement of other parts of the body, such as the soft tissues of the heel may help to diagnose acromegaly.


 - Click on the image for a larger version

References:

bulletMacSweeney JE, Baxter MA, Joplin GF: Heel pad thickness is an internal index of biochemical remission in acromegaly Clin Radiol 1990; Nov 42(5); 348-350.          [See related articles]

 

 

Google
 
Web Gentili.net


Atlas of Signs in Musculoskeletal Radiology is approved by the ARRS (American Roentgen Ray Society) and is included in AJR Webreview
A. Gentili,MD, M. Beller, MD, S. Masih, MD, L.L. Seeger, MD